如何代理皇冠信用盘 _河南一大学生咳嗽发烧近一月,多家诊所误当感冒治,医生:肺已全白
皇冠登1登2登3申请皇冠登3代理(www.hgty.us)-会员开户_登3代理,皇冠代理/—开会员账号—皇冠登3代理(招登1登2登3皇冠登3代理(平台出租,本文转自【大河报】;
发烧长达近一个月,一直被当作普通感冒在小诊所治疗,谁能想到,最终竟发展到住进ICU的地步如何代理皇冠信用盘 。回忆起过去两个多月的经历,19 岁的小王仍感觉像一场噩梦。
发烧近一月
跑遍老家诊所无果
小王来自河南新乡某县,在湖北一所大学攻读酒店管理专业如何代理皇冠信用盘 。2024年11月,正在学校上课的他突然发起了烧。
他以为是天气转凉引发了感冒,便前往校医处拿了些退烧药服用如何代理皇冠信用盘 。服用退烧药大约一周后,发烧症状有所缓解,小王便自行停止了用药。
此后,小王的身体逐渐消瘦如何代理皇冠信用盘 。2025年1月下旬放寒假回到老家时,他已瘦了近30斤,体重从120斤骤降至90斤。

身高176cm的他,身形如同 “麻秆”一般,活脱脱瘦“抽条”了如何代理皇冠信用盘 。
与此同时,发烧症状再次袭来如何代理皇冠信用盘 。自1月底起,小王反复发烧,体温一直维持在37.5℃左右。他依旧认为是普通感冒,便在老家村里诊所拿了退烧药继续服用。
然而,四天过去了,退烧药毫无效果如何代理皇冠信用盘 。小王又辗转到另一家诊所,尝试不同的退烧药,可病情依旧没有好转。
见小王反复发烧,退烧药也无法降温,医生建议他前往新乡市里的大医院进行抽血检查如何代理皇冠信用盘 。检查结果显示,小王体内炎症反应较高,医生建议他回家继续使用抗生素治疗。
回到老家后,小王开始在诊所输液,但两天过去,依旧不见起色如何代理皇冠信用盘 。无奈之下,小王又寻求中医调理,此时,他持续发烧已达大半个月。
肺部接近全白
转诊途中一度昏迷
展开全文
随后,小王的身体状况愈发糟糕如何代理皇冠信用盘 。除了发烧,他开始喉咙发痒,进而发展为咳嗽,咳出的痰中还带有血丝,呼吸也变得困难,夜晚根本无法入睡。
联想到小王体重急剧下降,家人急忙带他前往新乡市的另一家大医院进行肺部 CT 检查和指脉氧检测如何代理皇冠信用盘 。
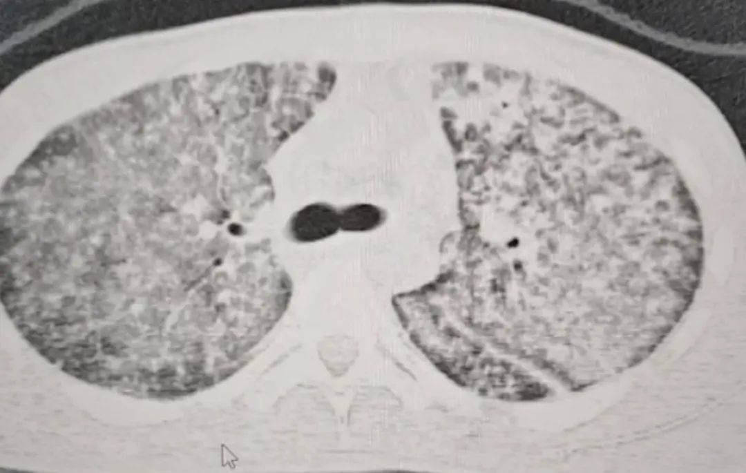
检查结果令医生大为震惊如何代理皇冠信用盘 。肺部 CT 影像显示,小王的肺部几乎全白。

同时,指脉氧检测结果也极不理想,正常人的氧合指数在400-500左右,而小王的氧合指数仅有100如何代理皇冠信用盘 。
这意味着,小王喘气次数远超常人,可体内氧气含量却远不及常人如何代理皇冠信用盘 。医生怀疑小王患上了肺结核,且病情已十分严重,当即建议他转诊至郑州的大医院。
2025年2月18日,小王转至河南省胸科医院接受治疗如何代理皇冠信用盘 。在前往郑州的途中,由于病情过重,小王一度陷入昏迷。
“他来我们医院时,我一看CT,双肺都呈现弥漫性病变,考虑白肺,情况十分危急如何代理皇冠信用盘 。” 河南省胸科医院结核内科六/ 感染危重症病区主任梁瑞霞向大河报·豫视频记者讲述,小王因肺部感染引发了急性呼吸窘迫综合征。

随即,梁瑞霞主任组织科室副主任医师李健康等人,迅速对小王展开无创呼吸支持,以及抗结核、抗感染治疗如何代理皇冠信用盘 。
三天后,小王的生命体征逐渐趋于稳定如何代理皇冠信用盘 。十天后复查肺部CT,病区有明显改变。
一波未平一波又起
确诊结核性脑膜炎
本以为病情逐渐好转,可小王又遭遇了新的危机如何代理皇冠信用盘 。在检查时,他被查出患有结核性脑膜炎。
“结核性脑膜炎,是结核分枝杆菌通过血液侵入脑部所致,这是结核病中最为严重的一种,比单纯的肺结核更为复杂,病死率也很高如何代理皇冠信用盘 。” 梁瑞霞表示,小王出现这种情况,正是因为患上血行播散型肺结核后,结核杆菌跟着血液流动,血液流动到哪里,结核杆菌就会播散到哪里。
幸运的是,经过腰椎穿刺检查,小王并未出现颅内高压等更严重的状况如何代理皇冠信用盘 。“这真是不幸中的万幸。” 梁瑞霞感慨道。
截至2025年3月24日,小王仍在省胸科医院住院治疗如何代理皇冠信用盘 。目前,他的症状相比刚入院时已缓解了90%,已脱离生命危险。
更让小王欣喜的是,他的体重比刚入院时增加了十几斤如何代理皇冠信用盘 。“刚到医院的时候,我真的以为自己没救了,那时候整夜睡不着,就怕自己睡着后再也醒不过来……”
随着小王身体逐渐康复,家人的脸上也重新露出了笑容如何代理皇冠信用盘 。李健康透露,如果后续没有其他异常,大约再过一周,小王就可以出院回家休养。
“出院后,我最想好好吃一顿,我想吃虾如何代理皇冠信用盘 。在医院这段时间吃得太清淡,嘴里都没味啦!” 谈及出院后的心愿,小王笑着告诉记者。
来 源:大河报·豫视频记者 侯冰玉 王雷雨
猜你喜欢
- 2025-12-14皇冠信用盘登123出租_贺州市政府原副市长、市公安局原局长戴晓萧严重违纪违法被“双开”
- 2025-12-14皇冠会员如何申请_“最快女护士”张水华账号已清空,好友:她报名了明天的福州马拉松,但不会参赛
- 2025-12-14皇冠会员如何申请_新加坡一男子不满邻居在楼下唱歌,持刀将其砍伤,潜逃六天后被捕
- 2025-12-13皇冠信用盘登3代理注册_A股784亿市值芯片公司,重大资产重组终止!股价今年已上涨超180%
- 2025-12-13皇冠信用盘账号注册_美军急捞坠海舰载机 杜文龙:名义上是打捞战机,实则是借机开展南海海底地形测绘
- 2025-12-13皇冠信用盘账号注册_川赣两地深化区域交流合作 共探文旅发展新机遇
- 2025-12-13皇冠信用盘如何注册_重大资产重组终止!超700亿市值公司,突发公告
- 2025-12-13世界杯足球平台代理_菲最新民调出炉!马科斯支持率仅剩 21%,莎拉准备接班,关键时刻中国大使抵达马尼拉,信号强烈
- 2025-12-13世界杯足球平台代理_快卸载!正在违规收集你的个人信息
- 2025-12-13皇冠信用盘庄家_主动投案!吕红晓,被查!
- 2025-12-13世界杯皇冠代理平台_淮南一名小学生因病去世,班上同学以为是转学纷纷给他写信:“xi望你还记得我们”
- 2025-12-12皇冠信用盘如何注册_英伟达H200对华解禁 已有国内大厂提出近10万片需求



网友评论